
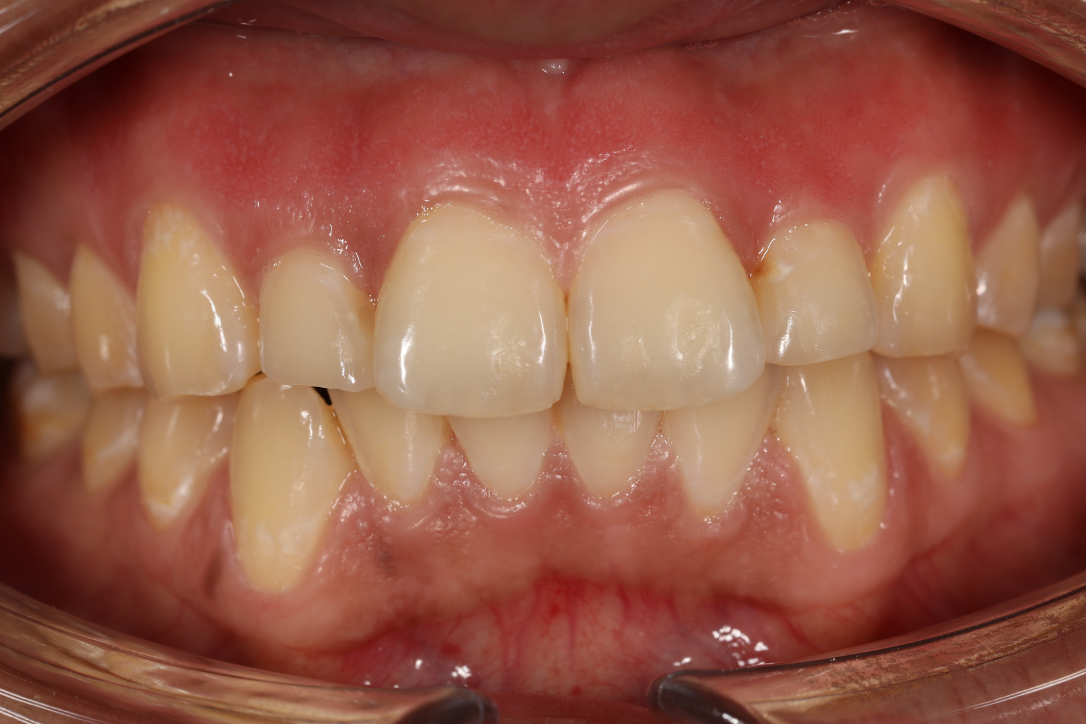
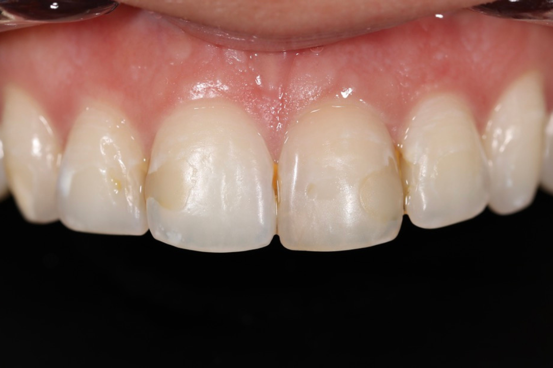
Explore our gallery of actual patient transformations. Whether restoring health, improving function, or enhancing aesthetics, our before-and-after photos demonstrate the precision, artistry, and life-changing results we deliver every day.















Comprehensive solutions for a healthier, brighter smile.
Save infected teeth and eliminate pain with gentle root canal therapy.
A personalized combination of treatments to design your dream smile.
Minimally invasive treatments for precise, painless, and faster healing.
Immediate relief for toothaches, accidents, and urgent dental needs.
Specialized treatments to stop gum disease and protect your foundation.
Straighten your teeth discreetly with clear, comfortable, removable aligners.
We are proud to be the community’s most trusted choice for dental care. With a consistent track record of 5-star experiences, we invite you to read what your neighbors are saying and see why we are ranked #1 in patient satisfaction.
Posted on Alan Kabakoff Periodic cleaning Quick and efficient. In and out while still delivering quality service. Thanks!Posted on Brandon Soria Amazing experience! The staff was friendly, helpful, and made me feel comfortable right away. The dentist was gentle, thorough, and truly cared about my needs. Highly recommend this office!Posted on Alexa Gem Calabasas Dental Institute is honestly the best dentistry I’ve ever been to. They are very humble people that work there. They are attentive, and they work with you and they’re always try to accommodate to your schedule. Their prices are also very reasonable, probably the most reasonable priced dentistry I’ve ever been to. I went there on my own and now I have my whole family going to them. They are great!Posted on srmahaffy I had another great visit with Dr. Applefield at Calabasas Dental Institute. This time, in addition to getting my teeth cleaned/check-up, Dr. Applefield redid some bonding on one of my upper front teeth. He did a great job!! It looks really nice, and I feel glad that I got it done every time I smile. Dr. Applefield has been my dentist for almost 45 years. He is a dentist I trust, is skilled, and very knowledgeable. I always feel like I’m getting great care from him and he always puts me at ease if I ever feel nervous. His assistant is great too, as well as the office staff. I hear good things about the other dentist at this practice as well. UPDATE 2025 Since my former dentist, Dr. Applefield retired, I’ve been seeing Dr. Armen for about 3 years (?) and hygienist Nicole. Both do an excellent job. I get very nervous going to the dentist and I appreciate Dr. Armen‘s excellent skills and knowledge and him being conservative if a treatment isn’t necessary, or warrants monitoring. He has redone two crowns for me and both procedures went great and I also appreciate his patience with me developing trust in a new (to me) dentist. Nicole is a great Hygienist. She Is thorough and gentle and very kind. All of Dr. Armen’s staff and assistants do a great job and put you at ease. Thank you!Posted on Matthew Ferdows I was very impressed with Dr. Galustian and his assistants. They were very friendly and at the same very professional and knowledgable. I will definitely recommend him to all my family and friends.Posted on Ron Lavery Nicole is a pro with mad skills. Everyone is so nice. Thank you!Posted on Julia Juarez The best dentist I have been to. The doctor is really gentle and knows how to gain your trust… I have phobia of dentist due to many bad experiences. Yesterday he extracted my wisdom tooth and the molar next to it… I did not need any anxiety med or gas…. He made me feel safe and took his time. His assistants are also very reassuring. Overall I would recommend him to anyone especially if you suffer from dentistry phobia or anxiety.Posted on Peter Dampf Every appointment I have at Calabasas Dental, I feel at ease. Everyone there does their very best to serve you. They are the best!Posted on Larry Lorenz Haven’t had a bad experience here . Been going for several years . Staff and doctors are great . Highly recommended.Posted on Eli Zevin Awesome experience. Everyone was super nice and helpful. Thank you!
Don’t wait to achieve the oral health and confidence you deserve. Schedule your consultation today and discover why Calabasas Dental Institute is the community’s trusted choice for comprehensive care.
Access to highly trained specialists and advanced technology.
Treatment plans tailored specifically to your unique goals.
A relaxing environment designed to put you at ease.